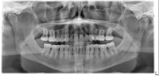
Ask the Dentist – What are the Types of Dental Radiographs Commonly Evaluated at Your Dental Appointment?