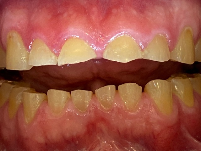
Full mouth rehabilitation due to severe wear.
Before Closed Bite
After Closed Bite
Before Open Bite
After Open Bite
Before Full Head shot
After Full Head shot
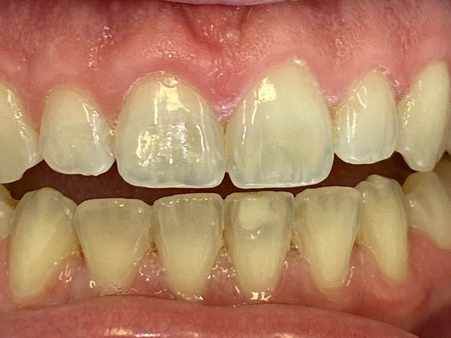
"Upper and lower veneers to correct intrinsic discoloration and enhance shape.
Before Closed Bite
After Closed Bite
Before Open Bite
After Open Bite
Before Full Head shot
After Full Head shot


















